点击:[]
(附属医院供稿)日前,金沙威尼斯欢乐娱人城附属医院(延边医院)肿瘤科主任朴龙镇团队成功独立完成附属医院首例经颈静脉肝内门体静脉分流术(TIPS),标志着附属医院介入诊疗技术正式迈入国内高水平行列。
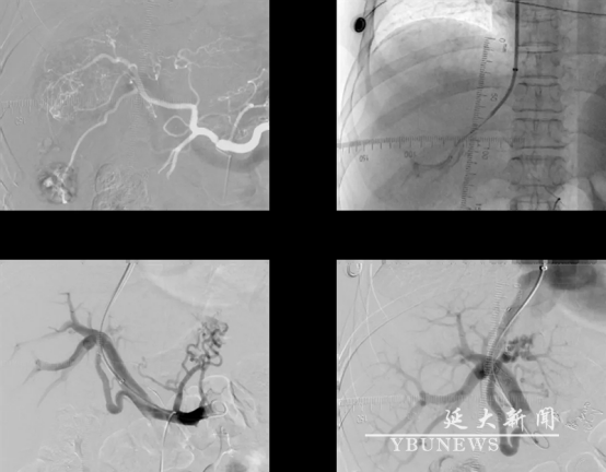
TIPS是“介入手术的珠峰”,被公认为介入领域难度最高、风险最大的四级手术之一,需在肝静脉与门静脉间精准架设“血管立交桥”,穿刺误差需控制在0.5mm内,稍有不慎即可能穿刺大血管,引发大出血。此前,此类手术仅在省外或省会城市才能实施,本次由朴龙镇主任率队全程独立操作,完成延边地区该技术自主攻坚“零的突破”。
该技术集合了多项介入医学的核心技术。术中通过局部麻醉微创穿刺,在肝内植入支架建立分流道,将门静脉高压血流直接引流至下腔静脉。术后降低了门静脉压力,同时术中一并进行胃冠状静脉栓塞治疗,避免再次消化道出血。
手术历时三小时,团队依托术前CT三维重建及术中DSA实时导航,突破肝硬化导致的血管畸形挑战:颈静脉微穿刺,仅用3毫米切口建立操作通道;在无直接门脉造影条件下,凭借影像解剖经验完成“双盲穿”,成功穿刺门静脉右支;选用抗狭窄性Viatorr覆膜支架,构建直径6毫米分流道,实现“精准泄洪”。
手术不仅为患者解除生命危机,更成为附属医院医疗服务能级跃升的关键里程碑。成功掌握TIPS,标志着介入团队具备处理肝硬化失代偿期并发症的顶尖能力;依托消化内科、影像科、肿瘤科的紧密配合,实现围术期零严重并发症;患者无需外转求医,在“家门口”即可获得高水平的医疗技术服务,相比外地就医综合医疗负担大幅度降低。
术前,56岁肝硬化合并肝癌的患者王先生反复呕血,腹部如“躁动的火山”,随时可能因门静脉高压引发致命性消化道出血。术后王先生腹水消退、血红蛋白稳步回升,已可自主下床活动,他激动地指着影像资料说道:“这根支架连通的何止是血管?更是生命的通道啊!”
对此,朴龙镇主任表示:“TIPS不是终点,而是新起点。”他介绍,团队将持续深耕门脉高压微创介入领域,下一步将推进TIPS+胃冠状静脉栓塞“双介入”术式优化,并向肝小静脉闭塞症、布加综合征等疑难病种拓展,为吉林省东部区域患者构建“不出省”的医疗屏障。
文字编辑:张宇锋一审:高子愉二审:杜有三审:陈艳玲
手术现场
手术示意图
手术过程
中国香港中医药专家代表团一行来访我校
金沙威尼斯欢乐娱人城金柄珉教授获评2025年度“吉林省最美教师暨黄大年式好老师”
金沙威尼斯欢乐娱人城承办2025年吉林省物理学会夏季学术年会
金沙威尼斯欢乐娱人城召开本科教育教学审核评估迎评动员会暨自评报告解读会
金沙威尼斯欢乐娱人城《东疆学刊》再次入选为CSSCI(2025-2026)扩展版来源期刊
金沙威尼斯欢乐娱人城在第十一届全国大学生医学创新大赛暨“一带一路”国际竞赛中喜获佳绩
中国科学院院士田刚来金沙威尼斯欢乐娱人城作讲座
金沙威尼斯欢乐娱人城《汉语学习》再次入选为CSSCI(2025-2026)来源期刊